Prof.Dr. Yetkin Söyüncü

Prof. Dr. YETKiN SÖYÜNCÜ KLiNiĞi

MEMORIAL ANTALYA HASTANESi

Ortopedi ve Travmatoloji Ana Bilim Dalı
2002-2019, Antalya/Türkiye
Uzman Doktor
2021 (Halen Devam Etmektedir) Antalya/Türkiye
Ortopedi ve Travmatoloji Uzmanı
2019-2020, Antalya/Türkiye.
AKDENiZ ÜNiVERSiTESi HASTANESi
TEDAViLERiMiZ
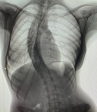
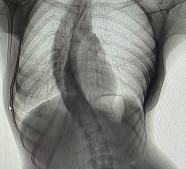
Prof. Dr. Söyüncü çocukluk ve yetişkin döneminde karşılaşılan skolyoz, kifoz, bel ve boyun fıtıkları ve spinal kanal darlıkları, omurga enfeksiyonları, tümörleri, travmatik ve osteoporotik kırıkları gibi her türlü omurga rahatsızlıklarının tedavi ve cerrahileri ile diğer ortopedik rahatsızlıkların tedavileri ile ilgilenmektedir.




TRAVMATOLOJi ve
ORTOPEDi TEDAViLERi
Prof. Dr. Söyüncü çocukluk ve yetişkin döneminde karşılaşılan skolyoz, kifoz, bel ve boyun fıtıkları ve spinal kanal darlıkları, omurga enfeksiyonları, tümörleri, travmatik ve osteoporotik kırıkları gibi her türlü omurga rahatsızlıklarının tedavi ve cerrahileri ile diğer ortopedik rahatsızlıkların tedavileri ile ilgilenmektedir.




SEE OUR OTHER PROJECTS
Our years of experience makes us the ideal partner for your next project. We won't shy away from a challenge, but also know how to manage risks.
BRIDGEWATER JOY RESIDENCE
PLEASANTVIEW GEM INN
Hastalarımız Neler Dedi..?
Mehmet Ali Torun
Manavgat


Efe Gökmenler
Elmalı
Yetkin bey sadece iyi bir hekim değildir... Güler yüzlü hep sakin karşısındaki hastasına bakışıyla bile moral veren iyi bir pisikolog iyi bir dosttur.
Sayın değerli hocam siz görevinizi daha iyi edersiniz ben inanıyorum benim parmaklarımı bile sizin sayenizde eski haline geldi başarılar
PROCESS
OF BUYING
HOUSE VIEWING
1
2
NEGOTIATING TERMS
3
CLOSE CARE-FREE
We are here to help you find the perfect place for your family. Depending on your needs, we'll suggest properties to view and book you in for your viewing.
Once you've found the property of your dreams and are ready to place an offer, we will contact the seller and negotiate the best terms to suit your budget and needs.
We don't play around – that means that our bold and confident approach to closing results in you walking away with the keys to your new dream property.
EKiBiMiZ




Prof.Dr. YETKİN SÖYÜNCÜ
HABİBE BEKTAŞOĞLU
Sizin Sağlığınız Tek Önceliğimiz
Uzman Hekim Operatör Doktor
Muayenehane Asistanı
PARTNERS
To bring our vision into reality, we need the best partners out there. We've joined hands with one of the best when it comes to materials, lightning and furniture to achieve sophisticated results.
BİZE
ULAŞIN
Sormak İstediğiniz Konular için Yan Bölümde BUlunan Formu Doldurup Gönderebilrisiniz, Size En KIsa Zamanda Yanıt Vermeye Çalışacağız
Sağlıklı ve Keyifli Bir Yaşam Dileğiyle...







